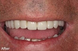
Dental Implants

A Dental Implant is the best available treatment to replace a missing tooth by placing artificial teeth.


    Want to get rid of those ill-fitting loose dentures? We at Mumbai Dental Care strongly believe that it is the moral right of every individual to have natural-looking teeth. From the replacement of a single tooth to the replacement of multiple/all missing teeth, you can rely totally on our experienced dental surgeons.

Dental Implants

    Dental Implants are titanium alloy implants that are anchored into the jawbone. Titanium alloy is the material that is used in joint replacement procedures (knee and hips). It's strong lightweight and has been proven it is safe.

Dental Implant Cost In Navi Mumbai

    Factors that influence the cost of dental implants are as follows:-
  • The expertise of the Implant Surgeon - Implant placement is a very sensitive procedure that requires careful diagnosis, accurate treatment planning, and precise execution of the surgical and prosthetic phases. An implant surgeon who has undergone extensive training and has enough experience in handling difficult cases is required to make the entire procedure safe, risk-free, and successful for the patient.
  • Infrastructure of the Surgery/Clinic - Implant surgical procedure requires state of an art facility and advanced equipment to make the entire procedure safe and comfortable for the patient. Implant procedure requires a complete sterile atmosphere. Strict adherence to the asepsis protocol is needed to make the procedure risk-proof. Example: Sterile draping of the patient before the procedure.

Benefits of Dental Implants :-

  • Avoids grinding down healthy teeth unlike in conventional bridgework.
  • Replaces teeth without sacrificing quality of the adjacent teeth.
  • Fuses to living bone for the "Real-tooth" feel.
  • Provides a reliable dental solution that can last a lifetime.

Advantages of Getting Dental Implants at Mumbai Dental Care:-

    At Mumbai Dental Care imported swiss technology is used for implant surgery. This makes it possible to get Fixed Teeth in just 3 Days. We are the only provider of Dental Implants in Ulwe which provide a hasslefree dental implants procedure.
  • Avoid grinding of adjacent healthy teeth to replace missing teeth.
  • Get rid of ill-fitting loose denture and get fixed permanent teeth.
  • Accurate case planning with cone-mean CT scan images and advanced dental software.
  • Get fixed teeth on the day of extraction(tooth in a day).
  • Experienced operators (placed over 100+ implants).
  • Use of only FDA approved imported Dental Implants.

Video links of Dr.Vaibhav H Tiwari - Mumbai Dental

Get Fixed Teeth In Three Days At Mumbai Dental Care

Dental Implants Services


Service

Basal Implants

Basal Implants in India - Immediate Loading Implants

Service

Tuberopterygoid Implants

If you have been told that there is less bone in your upper jaw fo

Service

Zygomatic Implants

Mumbai Dental Care provide Zygomatic Dental Implants for patie

Service

Upper Jaw Fixed Teeth With Implants

The missing teeth of Upper Jaw can be replaced with Ceramic perman

Service

Lower Jaw Fixed teeth with implants

The missing teeth of Lower Jaw can be replaced with Ceramic perman

Service

Dental Bone Grafting

In order for the Dental Implant process to be a success, there mus

Service

Sinus Lift

A Sinus Lift treatment is a common type of dental surgery that is

Service

Teeth in an Hour

Teeth in an Hour is a method that makes the instant implants for p

Service

Keyhole Implants

Keyhole Dental Implants is one of the very best way to replace any

Service

Conventional Implants

A conventional dental implant is one of many different types of de

Service

Overdenture Implants

Overdenture implants are a set of dentures which are supported by

Service

Dental Implants in Cancer Patients

The use of implants for oral rehabilitation of edentulous spaces h