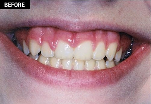
Gum Problems

A healthy mouth is host to a complex and dynamic community of bacteria.


The presence of oral bacteria is healthy for the mouth according to research. When these bacteria exceed of limit then they can cause problems. Here’s an example of healthy bacteria for teeth. The white-colored soft and sticky layer which forms every day on your teeth called plaque. If dental plaque remains for a prolonged period of time, it turns into a hardened calcified deposit called tartar that sticks to teeth near the gums. This rigid layer of tartar cannot be brushed or flossed away. It results in more accumulation of plaque which is not good for the teeth.

It can cause problems like sensitivity to gums and inflammation. Also if left untreated for a while can result in tooth decay due to loss of periodontal ligament and jawbone deterioration.
 

What are the risk factors for gum problems?
Poor dental hygiene practices that allow for dental plaque to build up are directly linked to gum problems. Devices around teeth, such as dental braces (orthodontic treatment), can make it difficult to properly clean around teeth. Additional risk factors to consider are as follows:

  • Smoking: Can lead to gum disease and oral cancer.
  • Genetics: It is one of factors which can cause gum problems if having a family history.
  • Diabetes: One suffering from diabetes tends to have weaker immunity to fight infections. Other systemic diseases such as heart disease and rheumatoid arthritis have been linked to gum problems, as well.
  • Age: Data from the U.S. Centers for Disease Control and Prevention show that more than 70% of the U.S. population age 65 and older has gum disease.
  • Poor nutrition: Vitamin or nutrient deficiencies in diet can adversely affect the body's ability to fight off infections, including those related to the gums.
  •  

    Get Fixed Teeth In Three Days At Mumbai Dental Solutions

    Gum Problems Services


    Service

    Bleeding gums

    Bleeding gums are caused by inadequate plaque removal. Plaque cont

    Service

    Bad Breath

    Bad breath, also known as halitosis, is a symptom in which a notic

    Service

    Periodontitis

    Periodontitis is inflammation of the gums and supporting structure

    Service

    Flap Surgery for Gums

    In this type of procedure the gum flaps are folded back to reveal

    Service

    Gum Depigmentation

    Gum depigmentation, also known as gum bleaching, is a procedure us

    Service

    Gummy Smile Correction

    Gummy Smile surgery can reduce a gummy smile in one surgical visit